Services

Examination of the Hand

The first and most important step is a thorough clinical examination of the hand requiring both extensive knowledge and years of indepth experience. In many cases, we are able to provide a clear diagnosis during the initial examination. Should further examinations be necessary, we are able to carry out X-ray and ultrasound scans in our office.

Foto von einer klinischen Untersuchung einer Hand im Handzentrum Köln. Leistungen des Handzentrum Köln
Ein Tapeverband wird von einem Handchirurgen um einen Finger gewickelt

Conservative Treatment

In many cases, conservative (i.e. non-surgical) treatment can help to relieve pain and solve your hand problem. Based on our long experience, we are able to advise you in which cases surgery can be avoided and your ailments can be treated e.g. with physical therapy or occupational/hand therapy.

Surgery

Surgery of the hand requires thorough anatomical knowledge. Due to the close proximity of bones, tendons, nerves and blood vessels, very careful and precise operating is required. Given the small size of the structures, all operations are performed with magnifying glasses or under a microscope.

Mr. Altmann, MD, and Dr. v. Maydell, MD, have both been specialized hand experts for many years. They offer you their skills with vast surgical experience in the entire field of hand surgery. Surgery is performed using either local, regional or general anesthesia in the office’s OR or in the PAN Klinik.

WALANT Surgery

By using local anaesthetic with adrenaline, the local bleeding can be reduced and an experienced surgeon can now operate without the unpleasant pain on your upper arm. Thus the operation is less unpleasant and patients can be awake during surgery. Side effects of general anaesthesia are eliminated, patients no longer have to refrain from eating and drinking in advance of surgery and also can continue to take their usual medication. WALANT Surgery is not only cost-efficient, it also offers advantages for the surgeon who can operate without time pressure and in many cases check the desired success immediately during the operation.

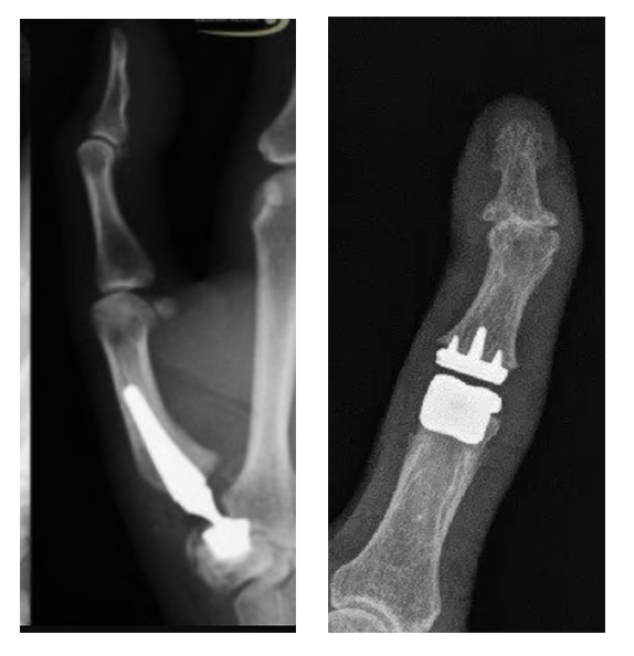
Joint Replacement

Constantly painful joints greatly impair hand function, and chronic pain takes a toll on the mind… In cases of osteoarthritis, some joints an be replaced. These endoprostheses can preserve mobility and, in many cases, restore pain-free use of the finger joints. These modern surgical procedures are a good alternative to joint fusion (arthrodesis) or other surgical therapies.

Foto einer Kinderhand. Das Handzentrum Köln ist spezialisiert auf die Behandlung von Kindern und kindlichen Fehlbildungen.

Congenital Anomalies/ Pediatric Hand Surgery

Dr. von Maydell’s broad scope of treatments include those of congenital hand deformities and hand injuries in children. If a child is born with fingers grown together, additional or missing fingers, parents can be, naturally, very worried.

We offer you a detailed consultation regarding the treatment options available and we will give advice whether surgery is recommended and/or necessary.

Arthroscopy of the Wrist

Many wrist problems can be diagnosed – and in many cases also be treated – by arthroscopy. This minimally invasive surgery is convenient for you and is performed on an outpatient basis.

Eine Handgelenksspiegelung bzw. Arthroskopie ermöglicht eine exakte Diagnose bei Handgelenksproblemen.
Rüntgenbild einer Handwuzel - Handgelenkschirurgie und Handwurzelchirurgie im   Handzentrum Köln

Wrist and Carpal Surgery

The interaction of the two forearm bones with the eight carpal bones is extremely complex. In one of the most complicated joints of the human body, there are still some biomechanical challenges that have yet to be fully solved. In the case of joint disorders caused by overuse, disease, wear and tear or as a result of injuries, arthroscopical treatment can often provide relief of pain and in many cases restore full function.

Foot Surgery

Mr. Altmann, MD, offers an array of many medical procedures including also Foot Surgery.
His experience of many years helps you – for relief of pain and discomfort you feel in every step you take.

Foto eines Fußes vor und nach der Behandlung durch Dr. Altmann - Fußchirurg beim Handzentrum Köln

Extracorporeal shock wave therapy (ESWT)

Extracorporeal shock wave therapy (ESWT) is a non-invasive procedure that is used specifically for chronic tendon irritation, e.g., in the wrist or thumb and also in the elbow (tennis elbow), as well as for persistent pain or restricted movement after injuries or operations on the hand. ESWT (IGeL) can support healing and relieve pain. Shock wave therapy is also used successfully to treat delayed or non-union of bones. Studies show that ESWT has very good healing rates for non-unions (pseudarthroses) in the hand and is a good, low-risk alternative to surgical procedures.

Laser Therapy

Laser therapy (IGeL) is an innovative combination of traditional acupuncture and modern laser technology that specifically stimulates healing processes in the tissue and effectively relieves pain. This modern, pain-free treatment method uses acupuncture points or local pain points to achieve an anti-inflammatory, pain-relieving, decongestant, and regenerative effect. This therapy is particularly helpful for diseases and injuries of the musculoskeletal system such as osteoarthritis, arthritis, tendon and muscle injuries, but it is also especially useful for accelerating rehabilitation after surgery.